K.SWARNA MUKHI ROLL NO-198

40M WITH DECREASED URINE OUTPUT SINCE 4DAYS.

This is an a online e log book to discuss our patient de-identified health data shared after taking his / her / guardians signed informed consent. Here we discuss our individual patients problems through series of inputs from available global online community of experts with an aim to solve those patients clinical problem with collective current best evident based input.









This E blog also reflects my patient centered online learning portfolio and your valuable inputs on the comment box is welcome.





I have been given this case to solve in an attempt to understand the topic of " patient clinical data analysis" to develop my competency in reading and comprehending clinical data including history, clinical findings, investigations and come up with diagnosis and treatment plan






The patient/ attender was informed the purpose of the information being acquired. An informed consent was taken from patient/ attender and there is omission of information that was requested to be omitted. 

A 40yr old male came to the opd with -

Chief complaints -
C/o vomiting since 4days 
C/o constipation since 4days 
C/o decreased urine output  since 4days 
C/o shortness of breath since 4days 
C/o generalized body swelling since 4days 

Hopi-
Patient was apparently alright 4days back then he had vomitings since 4days , 
constipation since 4days No flatulence ,
 decreased urine output since 4days .
Swelling both upper limbs and face 
Sob since 4days grade-1
No orthopnea 
No pnd 

Past illness-
K/c/o of hypertension since 1year 
Bilateral lower limb amputation was done 2years back 

Personal history-
Diet -mixed 
Appetite- decreased since 4days 
Sleep-deprived since few days 
Bowel and bladder movements-irregular 
No known allergies
ADDICTION-->
Patient had the habit of drinking alcohol since teenage 
Occasional beedi smoker 
Patient works as a labour so he used to drink alcohol daily around 360ml whiskey ---->
FURTHER HE WOULD DRINK >760ml WHISKEY
                                  I
 1500ML WHISKEY WHEN HE DRINKS ALL DAY 
                                  

Family history-not significant

General examination-
Patient is conscious , coherent , cooperative.
Vitals -
Bp-180/90mmhg 
Pr-63bpm
Rr-24cpm
















   USG impression :



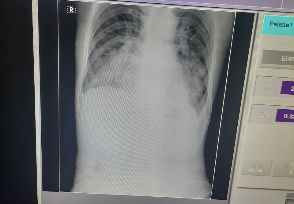
Chest x-ray :




INVESTIGATIONS:

Hemogram -

Hb -10.5 

Pcv-27.7

Tlc-12,500

Rbc-3.8

Plt count -1.61
INVESTIGATIONS:



Comments

Popular posts from this blog

1601006100 long case

A CASE OF 42YEAR OLD MALE k.swarnamukhi -1601006100

1601006100-long case 50 YEARS OLD MALE WITH SOB AND GENERALISED EDEMA